At present, most of the new coronavirus images circulating on the Internet are modified or schematic diagrams. Now, the US Centers for Disease Control has released new images showing its appearance in detail.

The new images from the CDC Public Health Image Library (PHIL) shows that the virus looks like small pepperoni pizzas (blue in the picture above). It was taken from samples from the first American case of COVID-19.
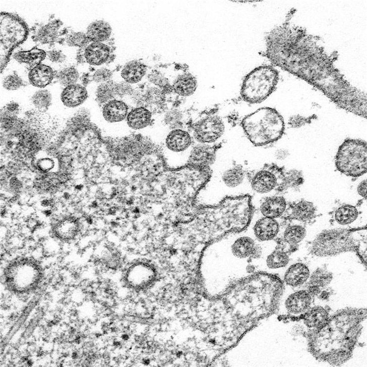
Bryan William Jones, associate professor at the University of Utah, said that the virus size is too small to be seen with traditional microscopes, and an electron microscope must be used.

New coronavirus images taken by transmission electron microscope
Jones said that virus shape or morphology is an important indicator of virus classification. The images taken by the electron microscope can clearly show the 3D structure of the new coronavirus including nucleocapsid protein and spike protein.

A picture of a new coronavirus taken by a scanning electron microscope
Jones said the blue dots in the new coronavirus images taken by transmission electron microscopy and the orange spots in the scanning electron microscopy images were all artificially colored in order to let ordinary people better understand the shape of the new coronavirus.
Special Report: Fighting The New Coronavirus